در دنیای پزشکی و بهویژه دندانپزشکی، انتخاب بهترین متخصص ارتودنسی میتواند تفاوت بزرگی در کیفیت درمان و رضایت بیمار ایجاد کند. اگر در مشهد زندگی میکنید و به دنبال بهترین دکتر ارتودنسی هستید، این مقاله برای شماست. در اینجا ما با بررسی دقیق و معرفی برترین متخصصان ارتودنسی مشهد، به شما کمک میکنیم تا با شناخت کاملتری از متخصصان و کلینیکهای معتبر این شهر، بهترین تصمیم را برای سلامت دندانها و زیبایی لبخند خود بگیرید. از دکتر نجمه تحویلدارنژاد تا دکتر سید محسن حسینی ادیب، ما در این مطلب اطلاعات جامعی از برترین متخصصان ارتودنسی مشهد را گردآوری کردهایم. همچنین، با معرفی کلینیکهای پیشرفته و مجهز مانند کلینیک دندانپزشکی پارمیس و کلینیک دندانپزشکی کاخ، شما میتوانید با خیال راحت به بهبود سلامت دهان و دندان خود بپردازید. با ما همراه باشید تا بهترین متخصص ارتودنسی در مشهد را بشناسید.
لیست بهترین متخصص ارتودنسی در مشهد
| نام مرکز | شماره تلفن | اینستاگرام | آدرس |
|---|---|---|---|
| دکتر رضا محولاتی شمسآبادی | تلفن: ۰۵۱۳۸۸۴۶۶۱۷ | @dr.mahvelati | مشهد، نبش هاشمیه ۱۳، ساختمان سایروس، طبقه دوم |
| دکتر رضا شهریاری | تلفن: ۰۵۱۳۶۰۲۶۰۲۰ | @dr.reza.shahriari | مشهد، آزادشهر، بلوار استقلال، بین استقلال ۶ و ۸، ساختمان پزشکان میلاد |
| دکتر محبوبه دهقانی محمدآبادی | تلفن: ۰۵۱۳۸۸۰۰۷۷۱
همراه: ۰۹۱۵۹۷۷۷۲۷۵ | @dr.mahboobe.dehghani | مشهد، نبش خیابان هاشمیه ۳۱، ساختمان پزشکان ونوس، طبقه سوم، واحد ۶ |
| دکتر برهمن سبزواری | تلفن: ۰۵۱۳۷۶۰۲۷۸۸
همراه: ۰۹۱۵۵۷۹۴۹۹۸ | @drsabzevari | بلوار فلسطین، فلسطین ۲۲، پلاک ۱۴، مجتمع تخصصی دندانپزشکی باران |
| دکتر نیما مخبر | تلفن: ۰۵۱۳۸۴۱۷۲۸۹ | @dr.nimamokhber | میدان احمد آباد، نبش ملاصدرای 2، ساختمان سپهر صدرا، طبقه سوم |
| کلینیک دندانپزشکی بزرگمهر | تلفن: ۰۵۱۳۷۶۶۶۹۷۷
همراه: ۰۹۰۲۲۳۳۳۹۰۷ | @bozorgmehrdentalclinic | بلوار سجاد، نبش بزرگمهر جنوبی 12 |
| کلینیک دندانپزشکی سامان | تلفن: ۰۵۱۳۸۸۰۰۷۱۱ | @saman_dental_clinic | وکیل آباد، بلوار هاشمیه، ابتدای هاشمیه ۲۵ (بلوار شهید صارمی)، پلاک ۲۴ (ساختمان ۲۴) |
| کلینیک دندانپزشکی بارانا | تلفن: ۰۵۱۳۷۶۰۹۰۰۹
همراه: ۰۹۱۵۷۶۰۹۰۰۹ | @barana_dentalclinic | بلوار سجاد، بین سجاد 2 و 4، روبروی روزنامه قدس، کلینیک بارانا |
| دکتر نجمه تحویلدارنژاد | تلفن: ۰۵۱۳۷۶۰۲۴۷۵ | @dr.tahvildarnejad.ortho | خیابان فلسطین، فلسطین ۱۸، پلاک۱۰، طبقه چهارم |
| کلینیک دندانپزشکی پارمیس مشهد | تلفن: ۰۵۱۹۱۰۰۱۴۱۵ | @parmisdentalteam | قاسم آباد (شهرک غرب)، بیین شریعتی 11 و 13، کلنیک دندان پزشکی پارمیس |
| کلینیک دندانپزشکی کاخ | تلفن: ۰۵۱۳۶۰۲۸۸۰۰ | @kakhclinic | خیابان امامت، روبروی پارک ملت، امامت ۲۲، پلاک ۸، طبقه ۲ |
| دکتر سید محسن حسینی ادیب | تلفن: ۰۵۱۳۷۶۲۳۹۸۴ | @dr.hosseiniadib_dr.esmaeili | بلوار سجاد، سجاد 2، بین گلریز 2 و 4 |
دکتر رضا محولاتی شمسآبادی
متخصص ارتودنسی در مشهد — دکتر رضا محولاتی شمسآبادی
دکتر رضا محولاتی شمسآبادی، یکی از شناختهشدهترین متخصصان ارتودنسی و ناهنجاریهای فکی در مشهد است که بهواسطه بورد تخصصی ناسیونال ارتودنسی، اعضای فعال در انجمن ارتودنتیستهای ایران و بیش از ده سال سابقه کلینیکی موفق، بسیاری او را بهعنوان بهترین دکتر ارتودنسی در مشهد معرفی میکنند. ایشان پس از دریافت دکترای حرفهای دندانپزشکی از دانشگاه علوم پزشکی مشهد در سال ۱۳۸۹، تخصص ارتودنسی خود را در دانشگاه علوم پزشکی همدان در سال ۱۳۹۳ تکمیل نمودهاند.
در کلینیک ایشان، درمانها با استفاده از آخرین دستاوردهای دیجیتال، اسکن سهبعدی و تکنیکهای نوین ارتودنسی انجام میشود.
در کلینیک دکتر محولاتی، درمانهای ارتودنسی بهصورت کاملاً علمی، حرفهای و متناسب با نیازهای خاص هر بیمار ارائه میشود. خدمات اصلی ایشان شامل موارد زیر است:
اصلاح بینظمی دندانی و درمان ناهنجاریهای فکی
ارتودنسی ثابت و شفاف
ارتودنسی نامرئی و ارتودنسی سرامیکی
زیبایی لبخند و طراحی دیجیتال لبخند
لمینت و کامپوزیت ونیر
درمانهای ترکیبی مانند ایمپلنت و ارتودنسی همراه
بیمارانی که به مطب ایشان مراجعه کردهاند، رفتار صبورانه و حرفهای، اخلاق برجسته و دقت بالای ایشان در روند درمان را با تحسین یاد میکنند
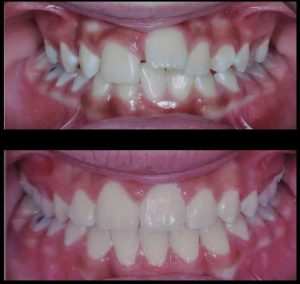
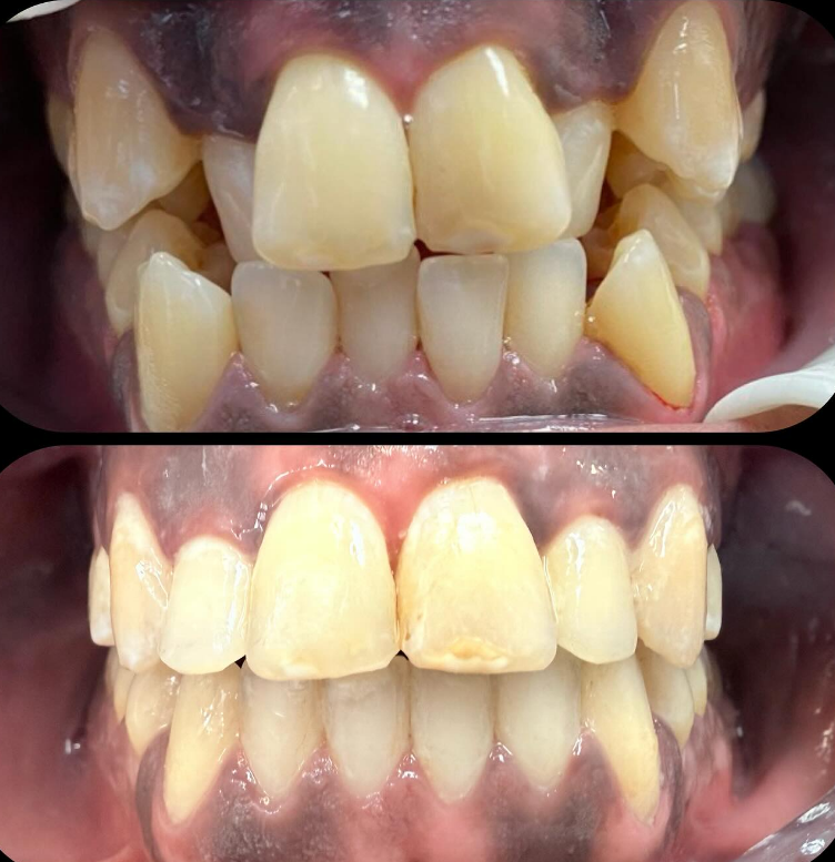
مقایسه ی قبل و بعد ارتودنسی دندان ها:

دکتر رضا شهریاری
متخصص ارتودنسی در مشهد — دکتر رضا شهریاری
- ارتودنسی ثابت و متحرک
- ارتودنسی نامرئی (Clear Aligners)
- ارتودنسی سرامیکی و زیباشناختی
- لمینت و کامپوزیت ونیر
- ایمپلنت دندان (با فلوشیپ بینالمللی ICOI)
- طراحی دیجیتال لبخند (DSD)
- درمانهای ترمیمی و زیبایی دندان
دکتر محبوبه دهقانی محمدآبادی
متخصص ارتودنسی در مشهد — دکتر محبوبه دهقانی محمدآبادی
دکتر محبوبه دهقانی محمدآبادی یکی از متخصصان برجسته و با تجربه در حوزهی ارتودنسی و ارتوپدی فک و صورت در مشهد هستند. ایشان با داشتن بورد تخصصی ارتودنسی و همچنین سابقهی استادیاری در دانشگاه علوم پزشکی مشهد، دانش علمی را با تجربهی بالینی تلفیق کردهاند و موفق به کسب اعتماد بالای مراجعین خود شدهاند. ایشان از اعضای فعال بنیاد ملی نخبگان ایران و همچنین انجمن ارتودنتیستهای ایتالیا (SIDO) هستند که این عضویتها نشاندهندهی فعالیتهای علمی و بینالمللی ایشان در حوزهی دندانپزشکی و ارتودنسی میباشد.
دکتر دهقانی با بهرهگیری از جدیدترین تکنولوژیها و متدهای روز دنیا، خدمات جامع و پیشرفتهای را در زمینهی ارتودنسی ارائه میدهند، از جمله:
- ارتودنسی ثابت با براکتهای فلزی و سرامیکی
- ارتودنسی متحرک برای مراحل اولیه درمان
- رتودنسی نامرئی و لینگوال (براکتهای پشت دندانی)
- درمانهای فانکشنال برای اصلاح رشد فک در سنین پایین
- ارتوسرجری (جراحی ارتوگناتیک) برای درمان ناهنجاریهای شدید فکی
تمام این خدمات با در نظر گرفتن اصول زیباییشناسی چهره و به حداقل رساندن دورهی درمان و ناراحتیهای بیماران انجام میگیرد.
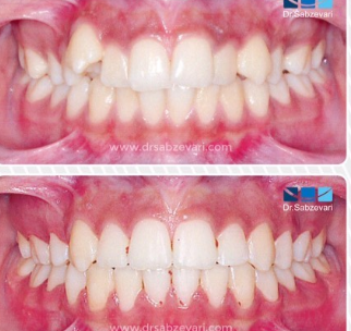
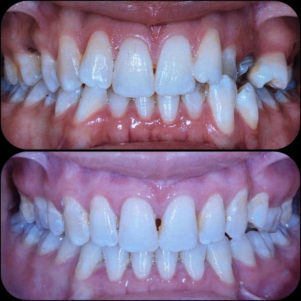
مقایسه ی قبل و بعد ارتودنسی دندان ها :



دکتر برهمن سبزواری
متخصص ارتودنسی در مشهد — دکتر برهمن سبزواری
دکتر برهمن سبزواری از چهرههای علمی و شناختهشده در حوزه ارتودنسی در مشهد است. وی فارغالتحصیل ممتاز رشته ارتودنسی از دانشگاه علوم پزشکی مشهد و عضو هیئت علمی سابق دانشکده دندانپزشکی رفسنجان بوده و سالها تجربهی تدریس، مدیریت گروه ارتودنسی اطفال و پژوهشهای علمی را در کارنامه خود دارد.
یکی از افتخارات ویژهی دکتر سبزواری، اختراع ثبتشده در زمینه شبیهسازی عمل نوشیدن در بیماران خاص و کودکان است که نشاندهنده رویکرد علمی و نوآورانه ایشان در درمان و آموزش ارتودنسی است.
وی همچنین عضو فعال انجمنهای ملی و بینالمللی ارتودنسی و از نخبگان دانشگاهی کشور در این حوزه به شمار میرود.
مطب دکتر سبزواری با بهرهگیری از دانش علمی و تجربه بالینی گسترده، خدمات متنوعی را برای بیماران در سنین مختلف ارائه میدهد، از جمله:
- ارتودنسی متحرک و نامرئی (درمانهای ظریف و غیرقابل مشاهده برای بزرگسالان)
- ارتودنسی کودکان و نوجوانان با تاکید بر پیشگیری از ناهنجاریهای فکی
- ارتودنسی پیشگیرانه برای هدایت رشد فک در سنین پایین
- طراحی درمان فردمحور با هدف کاهش مدت درمان و افزایش راحتی بیمار
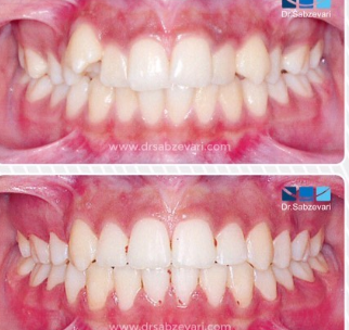
مقایسه ی قبل و بعد ارتودنسی دندان ها :



دکتر نیما مخبر
متخصص ارتودنسی در مشهد — دکتر نیما مخبر
دکتر نیما مخبر از متخصصان شناختهشده ارتودنسی در مشهد و ایران است که با سابقهای برجسته در حوزه درمانهای فکی و دندانی، جایگاه ویژهای در میان بیماران و همکاران حرفهای دارد.ایشان فارغالتحصیل رشته تخصصی ارتودنسی از دانشگاه علوم پزشکی مشهد در سال ۱۳۸۳ است و در ادامه مسیر علمی خود، موفق به گذراندن دوره فلوشیپ بیومکانیک (Biomechanics) در دانشگاه کانکتیکات آمریکا در سال ۲۰۰۶ شد؛ تجربهای که دانش و مهارت ایشان را به سطح بینالمللی ارتقا داده است.
دکتر مخبر بهویژه در زمینه درمان ناهنجاریهای پیچیده فکی، شکاف لب و کام، و استفاده از تکنولوژیهای نوین مانند ارتودنسی بدون سیم (Clear Aligners) و لینگوال (پشتدندانی)، پیشرو بوده و همواره بهروزترین روشها را در اختیار بیماران خود قرار میدهد. همچنین حضور فعال او در فضای مجازی و ارائه محتوای آموزشی، نشان از رویکرد شفاف، علمی و بیمارمحور او دارد.
در کلینیک دکتر مخبر، درمانهای ارتودنسی به صورت کاملاً حرفهای، علمی و مبتنی بر نیاز خاص هر بیمار انجام میشود. خدمات اصلی ایشان شامل موارد زیر است:
- ارتودنسی نامرئی (Clear Aligners مانند اینویزالاین)
- ارتودنسی لینگوال (براکتهای پشتدندانی)
- ارتودنسی سرامیکی با ظاهر زیباتر
- درمان تخصصی شکاف لب و کام
- اصلاح رشد دندان و فک در کودکان و نوجوانان
- برنامهریزی دیجیتال سهبعدی برای درمانهای دقیقتر
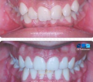
مقایسه ی قبل و بعد ارتودنسی دندان ها :



کلینیک دندانپزشکی بزرگمهر
متخصص ارتودنسی در مشهد — کلینیک دندانپزشکی بزرگمهر
کلینیک دندانپزشکی بزرگمهر مشهد، با فضایی درمانی به وسعت ۸۵۰ متر مربع و ۱۸ یونیت مجهز به جدیدترین متدها و تجهیزات دندانپزشکی، آماده ارائه خدمات تخصصی در زمینههای درمان ریشه، بیهوشی، ارتودنسی، بخش اطفال، جراحی پریو و جراحی فک و صورت است. فضای VIP این کلینیک با همکاری بهترین دندانپزشکان و اساتید با تجربه، محیطی حرفهای و مطمئن را برای مراجعهکنندگان محترم فراهم میآورد. بهترین متخصص ارتودنسی در مشهد نیز در این کلینیک فعالیت دارد تا خدماتی بینظیر و تخصصی را به بیماران ارائه دهد.
کلینیک دندانپزشکی سامان
متخصص ارتودنسی در مشهد — کلینیک دندانپزشکی سامان
کلینیک دندانپزشکی سامان با افتخار به عنوان بهترین کلینیک دندانپزشکی در مشهد شناخته میشود و به ارائه خدمات با کیفیت و متنوع دندانپزشکی متعهد است. ما با بهرهگیری از تجهیزات پیشرفته و تیمی از متخصصین مجرب، ترکیبی از تکنولوژی جدید و تجربه انسانی را به بیماران ارائه میدهیم. یکی از نقاط قوت ما حضور بهترین متخصص ارتودنسی در مشهد است که با دقت و حرفهایگری خاص خود به تنظیم و زیباسازی دندانهای شما میپردازد. کلینیک سامان مکانی است که در آن به سلامت و زیبایی دندانهای خود اطمینان خواهید داشت.
کلینیک دندانپزشکی بارانا
متخصص ارتودنسی در مشهد — کلینیک دندانپزشکی بارانا
کلینیک دندانپزشکی بارانا به عنوان یکی از معتبرترین مراکز درمانی در مشهد، با بهرهگیری از تجهیزات پیشرفته و کادری مجرب، خدمات متنوعی در حوزه دندانپزشکی ارائه میدهد. این کلینیک با داشتن بهترین متخصص ارتودنسی در مشهد، توانسته است رضایت بسیاری از بیماران را جلب کند. تخصص و تجربه تیم پزشکی بارانا در زمینه ارتودنسی، تضمینکننده نتایج بینظیر و درمانهای موفقیتآمیز برای بیماران است. کلینیک بارانا با تعهد به کیفیت و رعایت استانداردهای بهداشتی، محیطی مطمئن و آرام برای درمانهای دندانپزشکی فراهم کرده است.
دکتر نجمه تحویلدارنژاد
متخصص ارتودنسی در مشهد — دکتر نجمه تحویلدارنژاد
دکتر نجمه تحویلدارنژاد، به عنوان بهترین متخصص ارتودنسی در مشهد، با سالها تجربه و دانش تخصصی در زمینه ارتودنسی، توانسته است به یکی از برجستهترین چهرههای این رشته تبدیل شود. او با بهرهگیری از جدیدترین تکنیکها و فناوریهای روز دنیا، به بیماران خود خدماتی با کیفیت بالا ارائه میدهد. تعهد و دقت او در کار، همراه با برخورد حرفهای و دوستانه، باعث شده است که بیماران از نتایج درمانی او رضایت کامل داشته باشند. دکتر تحویلدارنژاد نه تنها در مشهد، بلکه در سطح کشور نیز به عنوان یک مرجع معتبر در زمینه ارتودنسی شناخته میشود.
در مطب دکتر تحویلدارنژاد، تمرکز اصلی بر درمانهای کمتهاجمی و حفظ ساختار دندانی طبیعی است. خدمات ارائهشده شامل:
- ارتودنسی کودکان و نوجوانان (تشخیص و پیشگیری زودهنگام)
- ارتودنسی بزرگسالان با حفظ ساختار طبیعی فک و دندان
- اصلاح ناهنجاریهای فکی بدون نیاز به کشیدن دندان
- طراحی لبخند متناسب با فرم صورت
- مشاوره تخصصی قبل از درمان برای انتخاب بهترین روش
کلینیک دندانپزشکی پارمیس مشهد
متخصص ارتودنسی در مشهد — کلینیک دندانپزشکی پارمیس مشهد
کلینیک دندانپزشکی پارمیس مشهد با بهرهگیری از تجهیزات پیشرفته و تیمی مجرب از جمله بهترین متخصص ارتودنسی در مشهد، به ارائه خدماتی با کیفیت و حرفهای در زمینههای مختلف دندانپزشکی میپردازد. این کلینیک با تمرکز بر بهبود سلامت دهان و دندان بیماران و رعایت استانداردهای بینالمللی، محیطی مطمئن و آرام را برای مراجعین فراهم میکند. از جمله خدمات برجسته این کلینیک میتوان به درمانهای ارتودنسی، ایمپلنت، و زیبایی دندان اشاره کرد که همگی تحت نظارت متخصصان باتجربه و با استفاده از تکنولوژیهای روز دنیا انجام میشوند.
کلینیک دندانپزشکی کاخ
متخصص ارتودنسی در مشهد — کلینیک دندانپزشکی کاخ
در کلینیک دندانپزشکی کاخ واقع در مشهد (روبروی پارک ملت، امامت ۲۲، پلاک ۸، طبقه ۲)، خدمات ارتودنسی با استانداردی بالا و کیفیتی متمایز به مراجعین ارائه میگردد. این مجموعه با تجهیزات مدرن و پیشرفته، تیم متخصص دندانپزشکی و پرستاری مجرب و محیطی آرام و بهداشتی، به یکی از انتخابهای مطمئن برای ارتودنسی در مشهد تبدیل شده است.
در کلینیک کاخ، ارتودنسی با رعایت کامل اصول بهداشتی و علمی انجام میشود؛ محیطی آرامشبخش همراه با اتاق عمل مجهز، حضور روانشناس و امکان درمان بیدرد با بیهوشی یا آرامبخشی که باعث میشود حتی بیماران مضطرب یا کودکان نیز تجربهای امن و راحت داشته باشند.
همچنین امکان انجام ارتودنسی بهصورت اقساطی در این کلینیک وجود دارد که از لحاظ مالی برای خانوادهها گزینهای مناسب محسوب میشود.
دکتر سید محسن حسینی ادیب
متخصص ارتودنسی در مشهد — دکتر سید محسن حسینی ادیب
دکتر حسینی ادیب، بهترین متخصص ارتودنسی در مشهد، در سال ۱۳۸۱ پس از قبولی در آزمون کنکور سراسری، وارد دانشکده دندانپزشکی مشهد شد و پس از ۶ سال، دوره دندانپزشکی عمومی را به پایان رساند. او در سال ۱۳۸۷ با رتبه ۳۸ کشوری در رشته ارتودنسی پذیرفته شد و در سال ۱۳۹۱ با کسب دانشنامه تخصصی و رتبه چهاردهم بورد تخصصی، فعالیت خود را به عنوان استادیار در دانشگاه علوم پزشکی بیرجند آغاز کرد. دکتر حسینی عضو انجمنهای ارتودنتیستهای ایران، جهان و آمریکا است و با چاپ مقالات و تألیف کتاب (ارتودنسی در مطب) به فعالیتهای علمی و پژوهشی خود ادامه داد.
در مطب ایشان خدمات زیر به شکل حرفهای ارائه میشود:
- ارتودنسی ثابت با استفاده از براکتهای فلزی و سرامیکی
- ارتودنسی نامرئی با الاینرهای شفاف (Clear Aligner)
- سفید کردن دندانها (بلیچینگ)
- اصلاح ناهنجاریهای فکی و طراحی دقیق بایت
- درمان ناهنجاریهای ترکیبی فکی و دندانی
ارتودنسی چیست و چرا اهمیت دارد؟
ارتودنسی شاخهای تخصصی از دندانپزشکی است که به اصلاح موقعیت دندانها و فک میپردازد. هدف ارتودنسی بهبود سلامت دهان، پیشگیری از پوسیدگی و کاهش فشار بر مفصل فک است. دندانهای مرتب باعث توزیع مناسب نیرو هنگام جویدن میشوند و از بروز مشکلاتی مانند ساییدگی و درد فک جلوگیری میکنند. ارتودنسی همچنین تاثیر مثبتی بر گفتار و ظاهر لبخند دارد و نقش اساسی در بهبود کیفیت زندگی بیماران ایفا میکند. دسترسی به خدمات بهترین دکتر ارتودنسی در مشهد میتواند نتایج درمان را بهبود دهد.
انواع ارتودنسی
ارتودنسی شامل روشهای متنوعی است که بسته به نیاز بیمار انتخاب میشوند:
- ارتودنسی ثابت (براکتهای فلزی و سرامیکی)
این روش کلاسیک و دقیقترین نوع ارتودنسی است و برای درمانهای بلندمدت مناسب است. - ارتودنسی متحرک
مخصوص کودکان و افرادی که نیاز به دستگاه قابل جابجایی دارند. استفاده از این روش به کاهش فشار بر دندانها کمک میکند. - ارتودنسی نامرئی (Clear Aligners)
مناسب افرادی که ظاهر براکتها برایشان مهم است و نیاز به درمان غیرقابل مشاهده دارند. - ارتودنسی لینگوال (پشت دندانی)
براکتها در پشت دندان قرار میگیرند و از دید دیگران مخفی هستند. - ارتودنسی ترکیبی و جراحی فک
برای ناهنجاریهای شدید فکی یا مشکلات پیچیده دندانی استفاده میشود و درمان طولانیتر ولی دقیقتری ارائه میدهد.

مزایای ارتودنسی
مزایای ارتودنسی تنها به زیبایی محدود نمیشود. از جمله مهمترین مزایا میتوان به موارد زیر اشاره کرد:
- توزیع یکنواخت فشار هنگام جویدن
- پیشگیری از پوسیدگی و التهاب لثه
- بهبود گفتار و عملکرد فک
- افزایش اعتماد به نفس و جذابیت لبخند
- کاهش نیاز به درمانهای پیچیده در آینده
افرادی که به دنبال بهترین دکتر ارتودنسی در مشهد هستند، معمولاً از این مزایا بیشترین بهره را میبرند.
تکنولوژیهای نوین در ارتودنسی
پیشرفتهای علمی و فناوری، ارتودنسی را دقیقتر و راحتتر کردهاند:
- اسکن دیجیتال سهبعدی
قالبگیری سنتی را جایگزین کرده و امکان برنامهریزی دقیق درمان را فراهم میکند. - طراحی لبخند دیجیتال
پیشبینی نتیجه درمان قبل از شروع را ممکن میکند و انتخاب روش بهینه را سادهتر میسازد. - براکتهای Self-ligating
طول درمان را کاهش داده و راحتی بیمار را افزایش میدهند. - برنامهریزی دیجیتال سهبعدی
درمان را کاملاً شخصیسازی میکند و باعث نتایج ماندگار میشود.
افرادی که به دنبال بهترین دکتر ارتودنسی در مشهد هستند، معمولاً از این فناوریها بهره میبرند تا درمان دقیقتر و سریعتری داشته باشند.
زمان مناسب برای شروع ارتودنسی
تشخیص زمان مناسب برای ارتودنسی بسته به سن و نوع مشکل متفاوت است. کودکان بین ۷ تا ۱۰ سال بهترین زمان برای شروع درمان پیشگیرانه هستند. بزرگسالان نیز در هر سنی میتوانند درمان ارتودنسی را آغاز کنند. علائم هشدار شامل شلوغی دندانها، فاصله غیر طبیعی، درد فک، مشکلات جویدن و عدم تقارن لبخند است. شروع به موقع درمان باعث کوتاهتر شدن طول درمان و نتایج بهتر میشود. مشاوره با بهترین دکتر ارتودنسی در مشهد کمک میکند زمان ایدهآل شروع درمان تعیین شود.
مراقبتهای قبل و بعد از ارتودنسی
رعایت بهداشت دهان و دندان در طول درمان ارتودنسی حیاتی است. توصیهها شامل:
- مسواک زدن دقیق و منظم
- استفاده از نخ دندان
- پرهیز از خوراکیهای سخت و چسبناک
- مراجعه منظم به متخصص برای تنظیم دستگاهها
- گزارش هرگونه درد یا مشکل به دکتر
این مراقبتها باعث کاهش پوسیدگی و التهاب لثه و تضمین نتایج طولانیمدت درمان میشوند.
ارتودنسی کودکان و پیشگیری
ارتودنسی در کودکان علاوه بر اصلاح دندانها، رشد صحیح فک را نیز تضمین میکند. درمان پیشگیرانه شامل استفاده از دستگاههای متحرک و هدایت رشد فک است. با تشخیص زودهنگام مشکلات فکی، میتوان از جراحیهای پیچیده در آینده جلوگیری کرد و طول درمان را کاهش داد. والدین باید به تغییرات رشد دندان و فک کودکان توجه کنند و به متخصص ارتودنسی مراجعه کنند. مشاوره با بهترین دکتر ارتودنسی در مشهد به تصمیمگیری درست در سنین کودکی کمک میکند.
ارتودنسی بزرگسالان
ارتودنسی بزرگسالان نیاز به دقت بالاتری دارد زیرا رشد فک متوقف شده و مشکلات فکی ممکن است پیچیدهتر باشند. با این حال، استفاده از روشهای مدرن مانند ارتودنسی نامرئی و لینگوال، امکان درمان موثر و مخفیانه را فراهم کرده است. بزرگسالان میتوانند با رعایت بهداشت و پیگیری دقیق مراحل درمان، دندانهای مرتب و لبخندی زیبا داشته باشند. انتخاب متخصص مجرب، که به عنوان بهترین دکتر ارتودنسی در مشهد شناخته میشود، نتایج درمان را تضمین میکند.
نتایج درمان و تجربه بیماران
نتایج درمان ارتودنسی شامل لبخندی هماهنگ، عملکرد صحیح فک و کاهش مشکلات دهان و دندان است. تجربه موفق بیماران نشان میدهد که رعایت دقیق نکات مراقبتی، استفاده از تجهیزات مدرن و تعامل صبورانه متخصص، تاثیر زیادی بر رضایت بیمار دارد. بیماران معمولاً از پیشرفت درمان و تغییرات محسوس در لبخند خود بسیار خرسند میشوند.
انتخاب بهترین روش درمان
انتخاب روش مناسب ارتودنسی بسته به شرایط دندانها، فک، سن و نیازهای فردی متفاوت است. مشاوره با متخصص، بررسی وضعیت دهان و دندان، و استفاده از فناوریهای دیجیتال به تصمیمگیری آگاهانه کمک میکند. هر روش مزایا و محدودیتهای خاص خود را دارد و برنامهریزی دقیق باعث کوتاهتر شدن طول درمان و بهبود نتایج میشود. مراجعه به بهترین دکتر ارتودنسی در مشهد تضمین میکند روش مناسب و دقیق برای هر بیمار انتخاب شود.
نکات تکمیلی برای بیماران
- هر درمان ارتودنسی نیاز به صبر و پیگیری دارد.
- رعایت بهداشت، مصرف خوراکی مناسب و مراجعه منظم به متخصص بسیار اهمیت دارد.
- آگاهی از روند درمان و مشارکت فعال در مراحل مختلف باعث موفقیت بلندمدت میشود.
- انتخاب کلینیک معتبر و متخصص با تجربه، تفاوت چشمگیری در کیفیت درمان ایجاد میکند.
نتیجه گیری
در نهایت، انتخاب بهترین متخصص ارتودنسی در مشهد میتواند تأثیر چشمگیری بر سلامت دهان و دندان و زیبایی لبخند شما داشته باشد. از بین بهترین متخصصان ارتودنسی مشهد همچون دکتر نجمه تحویلدارنژاد، دکتر سید محسن حسینی ادیب، و دکتر رضا شهریاری، هرکدام با تجربه و دانش تخصصی خود توانستهاند رضایت بسیاری از بیماران را جلب کنند. با توجه به نیازها و شرایط خاص هر فرد، مراجعه به یک کلینیک تخصصی معتبر مانند کلینیک دندانپزشکی پارمیس، کلینیک دندانپزشکی کاخ، یا کلینیک دندانپزشکی سامان میتواند راهحلی مناسب برای رفع مشکلات ارتودنسی باشد. بهرهگیری از تجهیزات پیشرفته، تیم متخصص و محیطی حرفهای در این کلینیکها، تجربهای مطمئن و رضایتبخش را برای شما به ارمغان میآورد. پس با انتخاب صحیح و مراجعه به یکی از این متخصصان یا کلینیکهای برجسته، میتوانید لبخندی زیبا و اعتماد به نفس بیشتری داشته باشید.
برای کسب اطلاعات بیشتر و هماهنگی با این متخصصان و کلینیکها، میتوانید به وبسایتها و صفحات اجتماعی آنان مراجعه کنید و از خدمات تخصصی آنها بهرهمند شوید.













